Skip Navigation

  Learn about our seasonal visitor policy & patient guidelines

Carolinas Rehabilitation Resources

Within Your Reach Winter 2021 Newsletter

Learn more about our framework to appeal Medicare Advantage denials, see the latest of our new rehabilitation hospital and more.

DOWNLOAD

Within Your Reach Fall 2020 Newsletter

2020 has been a challenging year, but our commitment to providing the highest level of rehabilitative care to our patients has remained constant. Read about our soon-to-open state-of-the-art rehabilitation hospital, latest accomplishments and more.

DOWNLOAD

A cost-effective way to prevent pulmonary embolism

Venous thromboembolism (VTE) frequently strikes patients during inpatient rehabilitation and can lead to life-threatening pulmonary embolisms. But there are no standard guidelines about how – or when – to screen for VTE. That’s why we investigated the benefits of making Doppler ultrasound part of the admission process and found that it reduces the risk of pulmonary embolism, shortens rehab stays and makes acute care readmissions less likely. Show/hide full abstract

Discover how routine Doppler screening can help your patients

New clues on why exercise promotes neuroplasticity

It has long been suspected that brain-derived neurotrophic factor (BDNF) may help Parkinson’s disease (PD) patients recover motor skills, but no one examined whether BDNF changes were consistent across human PD studies. Here at Carolinas Rehabilitation, our physical medicine and rehabilitation research team solved this problem by publishing the first-ever meta-analysis of neurotrophin release during exercise in people with PD. Show/hide full abstract

Discover the link between exercise and BDNF levels

See what a top rehab program can offer your patients

For almost 70 years, Carolinas Rehabilitation has provided the highest quality care to patients with the greatest functional and medical needs. And with a network that includes more than 600 board-certified therapists, 5 inpatient hospitals and 18 outpatient locations, our care is never far from your patients. Show/hide full abstract

Watch the video

Inpatient rehab: Effective, medically supervised – and affordable

Cancer patients are surviving for longer than ever – and grappling with physical, psychological and cognitive issues that need rehabilitative care. At Carolinas Rehabilitation, we’re embracing inpatient rehabilitation to help these patients continue post-acute cancer treatment and regain the skills to lead happy, functional lives. Show/hide full abstract

Learn More

 
clinical-video

Traumatic Brain Injury Forum Hosted by Carolinas Rehabilitation

The 2018 Traumatic Brain Injury Model System Leadership Forum, hosted by Carolinas Rehabilitation, focused on leading-edge research in a variety of areas related to traumatic brain injury.

Watch the video

Shining a Light on Depression Among African American Stroke Survivors

Stroke disproportionately affects African Americans in many ways, but the impact of poststroke depression (PSD) has been unclear. This first-ever study gives us a better understanding of the prevalence of PSD among African Americans and its effect on recovery. Show/hide full abstract

Learn More

Clarifying the Link Between Traumatic Brain Injury and Suicidality

Physicians treating traumatic brain injury (TBI) need to be aware of patients with elevated levels of suicidal thoughts. But severe extracranial injuries may pose an even greater risk than TBI for increased suicidal ideation. Explore the research behind these findings. Show/hide full abstract

Learn More

A Game-Changing Method for Identifying Parkinson's Disease

Identifying people potentially at risk for developing Parkinson’s disease may now be possible even years before symptoms begin. The clue is found in patients’ saliva. Show/hide full abstract

Learn More

 

How Does Carolinas Rehabilitation Change Patient's Lives?

Learn More

EQUADR SM Continues to Drive Improvements in Rehab Care

National quality benchmark database allows peers to share best practices.

Learn More

Carolinas Rehabilitation – A New Clue to Identifying Parkinson’s Patients

Watch Dr. Mark Hirsch, director of the Carolinas Department of Physical Medicine and Rehabilitation Core Laboratory, discuss how the clue to early diagnosis of Parkinson’s disease is found in patients’ saliva.

Watch the video

Carolinas Rehabilitation – Shining a Light on Poststroke Depression in African Americans

Watch Dr. Vu Nguyen, vice chair of academics and residency director of Physical Medicine and Rehabilitation for Carolinas Rehabilitation, discuss this first-ever study of the prevalence of poststroke depression among African Americans and its effect on recovery. Show/hide full abstract

Watch the video

Levine Cancer Resources

Innovating the Next Generation of Treatments for Blood Cancers

Report: Innovating the Next Generation of Treatments for Blood Cancers

LCI shared advances in understanding and treating hematological cancers at the 2022 American Society of Hematology Annual Meeting. Explore our latest research.

Download

Esophageal Cancer Care

Learn about the latest innovations that are dramatically improving esophageal cancer patient outcomes.

LEARN MORE

OncLive Strategic Alliance Partner

Levine Cancer is a proud member of the OncLive Strategic Alliance Partners program, a collaboration that brings oncology professionals the latest insights in cancer care.

LEARN MORE

More intense isn’t necessarily better when it comes to non-Hodgkin lymphoma treatments

Conditioning regimens of different intensities may be used in stem cell treatment of non-Hodgkin lymphoma – but more intense regimens may not be best for the patient.

LEARN MORE

An Innovative Nutrition Program Helps Cancer Patients Stay Strong

Up to 80% of cancer patients suffer from malnutrition. At Levine Cancer, we’ve launched an innovative malnutrition screening and treatment program to help patients stay stronger, recover faster and live healthier. Show/hide full abstract

Discover how nutrition care improves outcomes

Transoral Robotic Surgery (TORS)

In the past, chemotherapy, radiation and invasive surgery were the only options for head and neck cancer treatment. Fortunately, transoral robotic surgery (TORS) is turning the tide.

Learn More

Lutathera

Meet the first radioactive drug for neuroendocrine tumors

An innovative drug helped 65% of patients with advanced neuroendocrine tumors reach at least 20 months of progression-free survival.

See how it works

Sickle Cell

3 Ways We’re Transforming Sickle Cell Care

From haploidentical transplants to novel pain regimens that reduce opioid use, we’re developing ways to help more patients conquer sickle cell.

See what’s new

ASH

3 breakthroughs that could transform hematology care, from Charlotte to Africa

Helping patients beat lymphoma, sickle cell and multiple myeloma

LEARN MORE

GYN-Clinical

4 clinical trials = progress against recurrent gynecologic cancers

Immunotherapies might finally extend survival

LEARN MORE

Glioma

A ‘universally fatal’ glioma? Think again.

When it comes to brain tumors, H3 K27M mutant glioma is the worst of the worst. But an experimental drug, called ONC201, is showing unprecedented results. Find out how this groundbreaking therapy kills tumors

LEARN MORE

Survivorship

Your Patient Beat Cancer. What’s Next?

Cancer and its treatments can lead to long-term side effects like osteoporosis, cardiovascular disease and increased risk of another cancer. Fortunately, genetic testing, screenings and follow-up care can help survivors predict, prevent and overcome many of their unique medical issues.

HERE'S HOW

SickleCell

Levine Cancer Awarded $14 Million for Sickle Cell Care Improvement Effort

Levine Cancer’s sickle cell disease enterprise will spearhead two new initiatives to bolster sickle cell outcomes.

LEARN MORE

TheScan

The Future of Multiple Myeloma Treatment

Monoclonal antibodies are delivering a powerful new option against multiple myeloma, and LCI is bringing this new treatment option, as well as CAR T-cell therapies, to patients.

CHECK OUT THE LATEST

Lung

Skin Cancer: New Immunotherapies Expand Patients’ Options

Immunotherapy has revolutionized treatment for melanoma of the skin – and paved the way for using this approach against other, harder-to-treat skin cancers.

FIND OUT WHAT’S NEW

Lung

For Lung Cancer, Precision Medicine is Changing the Game

The combination of molecular testing and targeted drugs is significantly extending survival for many lung cancer patients.

LEARN MORE

CAR T-cell

Immunotherapy: New Options for Breast Cancer Patients

Recent studies suggest the programmed death ligand-1 inhibitor (an immunotherapy drug) is effective in some breast cancer patients. Through clinical trials, we’re delivering these to patients who might be running out of options.

LEARN MORE

CAR T-cell

CAR T-cell Therapy for Lymphoma

Hailed as oncology’s “Advance of the Year” by the American Society of Clinical Oncology, CAR T-cell therapy is offering hope for cancers formerly considered untreatable. As one of a few sites nationally participating in Juno 017001, we're already seeing promising results.

LEARN MORE

Adding a test tube to a centrifuge

Colon Cancer: How Much Adjuvant Chemotherapy is Enough?

National guidelines were updated to allow for a shorter duration of adjuvant chemotherapy for Stage III colon cancer. What duration is right for your patient?

Understand the new guidelines

Levine Cancer receives Planetree recognition

Carolinas HealthCare System's Levine Cancer is the first cancer network named a Planetree Patient-Centered Organization. Learn how we earned it.

Read the Article

Redesigning the Delivery of Specialty Care Within Newly Formed Hospital Networks

This article briefly reviews the frequently described approach of centralizing specialty services and then uses the story of Atrium Health to describe an emerging alternative strategy of decentralizing specialty services. Show/hide full abstract

Read the Article

Progress in Plasma Cell Disorders

The management of multiple myeloma (MM) has seen a drastic change over the last 15 years. Learn more about the progress Levine Cancer has made.

Download

Chronic neutrophilic leukemia in a child with aCSF3RT618I germ line mutation

Chronic neutrophilic leukemia (CNL) is a rare myeloproliferativeneoplasm characterized by sustained elevation of neutrophil count,splenomegaly, and poor prognosis. Activating mutations in the colony-stimulating factor 3 receptor (CSF3R), also known as the granulocytecolony-stimulating factor (G-CSF) receptor, have recently been identified in 80% of patients studied with CNL. Show/hide full abstract

Download

Turning the Tables on Advanced Bladder Cancer

The FDA gave “breakthrough” designation to two new therapies for metastatic urothelial cancer, and Levine Cancer offers both, plus a novel agent that isn’t available anywhere else.

Learn more

 

Levine Children's Hospital Resources

With World-Class Care and Outcomes, Kids Can Be Kids

At Levine Children’s Hospital, our patients are children first. In this book, discover how our life-changing care and capabilities are making better futures for children and their families.

Download

Pediatric Heart Care

Caring for minor heart murmurs to complex heart defects, our multidisciplinary team of physicians provides seamless cardiology carefrom before birth through adulthood. We specialize in neonatal cardiac surgery for newborns, pediatric cardiac surgery, heart transplantation and adult congenital surgery. And our team uses the most advanced technology to evaluate, diagnose, treat and manage your patient's heart condition. Show/hide full abstract

Download

 

Atrium Health Pediatric Surgery

At Atrium Health, our pediatric surgeons utilize the latest in minimally invasive and one-stage techniques, caring for newborns, children and adolescents. Practicing at Levine Children's Hospital in Charlotte and Jeff Gordon Children's Hospital in Concord, our pediatric surgeons provide expertise in fetal and neonatal care, trauma and pediatric oncology. Show/hide full abstract

Download

Pediatric and Adolescent Spine Program

Levine Children's Hospital offers a comprehensive program featuring multidisciplinary evaluation and management of spinal deformities in children.

Download

 

Going the extra mile for Kyler's new heart

Seven-year-old Kyler Bebber's heart had already given out three times and his family and doctors were very concerned that he may have a fourth sudden cardiac arrest.

Read the Article

Musculoskeletal Institute Resources

2021 Highlights Report From MSKI

Atrium Health Musculoskeletal Institute (MSKI) continues to advance its vision of becoming the first and best choice for musculoskeletal care in the Southeast. View our latest report to see our progress in clinical care, education and research.

DOWNLOAD

Creating a New Kind of Academic Musculoskeletal Institute

Claude “T.” Moorman III, MD, recently became president of our new Musculoskeletal Institute, drawn by the chance to help redefine academic musculoskeletal care.


Check out how we’re redefining musculoskeletal care

An Inside Look at Our 2019 Highlights

Atrium Health Musculoskeletal Institute, we’re pushing the limits to redefine musculoskeletal care, in collaboration with Carolina Neurosurgery and Spine Associates and OrthoCarolina. In this report, you’ll learn about our expertise, innovation, academic strength and more.

DOWNLOAD

2020 Highlights Report From MSKI

Atrium Health Musculoskeletal Institute (MSKI) continues to advance its vision of becoming the first and best choice for musculoskeletal care in the Southeast. View our latest report to see our progress in clinical care, education and research.

DOWNLOAD

Atrium Health Orthopaedic Researchers Develop Digital Tools to Address Opioid Crisis

Researchers at Atrium Health Musculoskeletal Institute’s Department of Orthopaedic Surgery and Atrium Health Carolinas Medical Center have developed electronic health record-integrated digital tools.

Check out how we’re creating useable tools for clinicians

Neurosciences Institute Resources

How Atrium Health Carolinas Medical Center's iMRI Transforms Neurosurgery

Intraoperative MRI (iMRI) is making certain brain surgeries more precise and effective, by enabling neurosurgeons to capture key images and adapt in real time.

SEE HOW iMRI ELEVATES CARE

ARISE trial aims to reduce intractable seizures

The novel drug is the first to target multiple receptors.




See who’s eligible

How to treat 66% of stroke patients in 45 minutes or less

In 2016, Atrium Health launched the Code Stroke Registry – a patient information repository that allows us to harness “big data” to pinpoint inefficiencies, optimize protocols and improve care

See how data can improve stroke care

From Spine Surgery to Epilepsy Diagnosis, Even the Best Care Can Get Better

Our Neurosciences Institute is on a mission to make care more precise. That’s why we’re using an innovative robotic-assisted surgical system and neurodiagnostic technology to improve accuracy and patient outcomes. See how these technologies transform care. Show/hide full abstract

Learn More

Neurosciences Institute: Shaping the Future of Neuroscience Care

Our Neurosciences Institute offers the most comprehensive care for brain, spine and nervous system disorders in the region – but our leadership transcends geographical borders. Through cutting-edge research, the latest treatments and technologies, and renowned specialty programs, we’re defining the future of neuroscience care. Explore our innovative, quality-driven approach. Show/hide full abstract

DOWNLOAD

Skull Base Tumors: A Minimally Invasive Approach Transforms Care

Atrium Health’s skull base surgery experts are using minimally invasive techniques to give patients the best possible outcomes – with fewer risks and far shorter recoveries than with cranial surgery. Show/hide full abstract

Learn More

How can you prevent overtriage for stroke?

New guidelines extend the treatment window for mechanical thrombectomy to 24 hours for some patients.

Learn More

Groundbreaking stroke pilot aims to reduce door-to-needle time by 30 minutes

Dr. Jeffrey Bodle has helped develop an innovative pilot program that connects patients in ambulances to neurohospitalists in the ER via virtual technology.

Learn More

Man Walks After Neurosurgical Procedure

Neurosurgeon, Dr. McGirt and his team used a specialized, freehand technique on a paralyzed man's spine to allow him to walk again.

Watch the Video

New Advances Offer Fresh Hope to Patients with Refractory Epilepsy

Read the Article

Early Results in Study for Complete Spinal Cord Injury

Patients with an acute, complete (AIS A), thoracic traumatic spinal cord injury have a surgical intervention that may help facilitate neurologic recovery.

Read the Article

Today’s CT perfusion scanning technologies show increasing promise for individualizing acute ischemic stroke care.

Download

A New Way to Track Migraines

Typically, patients track their migraines and severe headaches via journals; now there’s an intuitive app for that.

LISTEN HERE
ITUNES    GOOGLE PLAY

Effect of Radiosurgery Alone vs Radiosurgery With Whole Brain Radiation Therapy on Cognitive Function in Patients With 1 to 3 Brain Metastases

Whole brain radiotherapy (WBRT) significantly improves tumor control in the brain after stereotactic radiosurgery (SRS), yet because of its association with cognitive decline, its role in the treatment of patients with brain metastases remains controversial. Show/hide full abstract

Read the Article

Charlotte doctors find less radiation best for treating certain brain cancers

Dr. Tony Asher and Dr. Stuart Burri, Charlotte doctors with Atrium Health, are co-authors of a new study that shows some brain cancer patients can be treated effectively with a less toxic form of radiation that produces fewer memory problems and cognitive side effects. Show/hide full abstract

Read the Article

Trigeminal Neuralgia Video thumb image

Game-Changing Surgery Relieves Trigeminal Neuralgia Pain

Dr. Asher is one of the Southeast’s most experienced surgeons in treating trigeminal neuralgia.

Watch the video

Trigeminal Neuralgia Video thumb image

Beyond Pituitary Tumors: Advancing Minimally Invasive Approaches in Skull Based Surgery

Learn how our high-volume, Skull Base Surgery Program is advancing minimally invasive approaches through the nose and eyebrow to improve patient outcomes in complex cases.

LEARN MORE

 

Sanger Heart & Vascular Institute Resources

2021 Outcomes and Innovation report cover.

Achieving Top Outcomes While Expanding Virtual and Value-Based Care

Sanger expanded its reputation as a national leader in 2021, by spearheading innovations that enable us to make our world-class care and outcomes even better.

View our 2021 OUTCOMES REPORT

2020 Outcomes and Innovation report cover.

Another Year of Breakthrough Heart & Vascular Care

Sanger continued achieving some of the nation’s top outcomes for heart and vascular care in 2020, while developing treatments, devices and surgery techniques that will make future care even better.

View our 2020 Outcomes & Innovation Report

2019 Outcomes and Innovation report cover.

Meet the Latest Heart & Vascular Breakthroughs

Sanger’s 2019 Outcomes & Innovations Report chronicles how we achieve top outcomes while pursuing breakthrough treatments, surgical devices and techniques.

Download the report

An Innovative Solution for Chronic Atrial Fibrillation (AF)

Hybrid AF ablation combines surgery and catheterization to solve persistent AF when standard treatments fail.

See how hybrid AF ablation helps up to 80% of patients

Minimally Invasive Carotid Procedure Reduces Stroke Risk and Recovery Time

At Sanger Heart & Vascular Institute we’ve performed over 130 TCAR procedures, while limiting the stroke risk to approximately 1%.

READ THE ARTICLE

Advanced Heart

Two Options for When Heart Failure Keeps Getting Worse

ARNI can be more effective than ACE inhibitors, and the latest LVADs can help patients get back to traveling and playing golf.

READ THE ARTICLE

CaseStudy

An Inside Look at Sanger’s 2018 Innovations and Outcomes

Being a leader means more than delivering world-class cardiovascular care – it means raising the bar by improving outcomes, developing innovative techniques and pursuing breakthrough treatments, with excellent patient satisfaction. Our latest outcomes report details why Sanger Heart & Vascular Institute is one of the nation’s top centers for everything from minimally invasive procedures to cardiothoracic surgery to aortic disease treatment. Show/hide full abstract

Download

CaseStudy

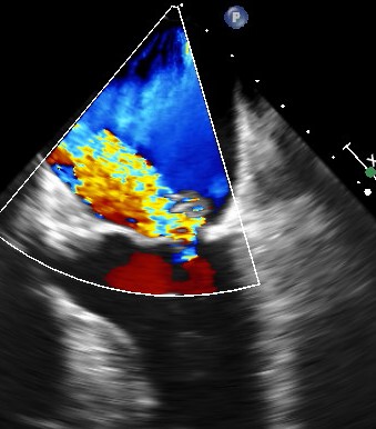
Finally, A Minimally Invasive Solution for Secondary MR

After medication fails, heart failure patients who develop secondary mitral regurgitation traditionally have limited options. But the tide is turning thanks to MitraClip, a transcatheter device that stops valve leakage by clipping the leaflets together.

Discover How

ForProvider

We’ve hired 19 new subspecialists to raise the bar

Heart and vascular care are becoming ever-more specialized – and so is Sanger Heart & Vascular Institute.

Meet our latest recruits

CaseStudy

Rare aortic dissection case during labor calls for dual surgery

When a 39-year-old woman in active labor presented to the emergency room with acute aortic dissection, the skilled team at Sanger Heart & Vascular Institute sprang into action to save two lives.

LEARN MORE

Survivorship

1 in 3 afib patients can’t take anticoagulants

An innovative device is here to help prevent strokes

LEARN MORE

Odyssey

It’s Time to Change Your Thinking About Aortic Valve Replacement

For patients under 60 needing a long-term fix, valve repair has emerged as a better, more durable option.

LEARN MORE

Odyssey

How to Reduce Cholesterol When Statins Don’t Work

The ODYSSEY Outcomes trial showed that a new class of drug called PCSK9 inhibitors can reduce cholesterol in high-risk patients by half.

LEARN MORE

Lung

Improving Treatment for Deep Vein Obstructions

Deep vein obstructions can lead to symptoms that diminish quality of life. But it can be hard to diagnose these obstructions or know when they’re different from superficial venous problems.

GET THE LATEST

Two New Technologies Transforming Chest Pain Evaluation

For many patients with chest pain, stress tests don’t always provide a clear diagnosis. Enter two newer noninvasive technologies that are changing the game.

Learn More

Stabilizing the Sternum in High-risk Patients

Dr. Madjarov and the Sanger Heart & Vascular Institute team developed a groundbreaking device that uses polymer plates to stabilize the sternum longitudinally, and it’s already improving outcomes and helping patients live longer.

Read the Article

First-in-World Stent Implantation to Treat Nonthrombotic Iliac Vein Lesion

Sanger Heart & Vascular Institute enrolled and treated the first patient in the investigational device exemption study for a venous self-expanding stent system.

LEARN MORE

An Inside Look at Outcomes and Innovation

Being a leader means more than delivering world-class cardiovascular care – it means raising the bar by improving outcomes, developing innovative techniques and pursuing breakthrough treatments. Our latest outcomes report details why Sanger Heart & Vascular Institute is one of the nation’s top centers for everything from heart transplant to cardiothoracic surgery to aortic disease treatment. Show/hide full abstract

Download

The Latest Trials for Mitral Regurgitation – Available Right Here

You may have heard of the FDA-approved MitraClip, but you might not know about some brand-new trials bringing even more  treatment options to your patients with severe mitral regurgitation (MR). Learn the latest on MR. Show/hide full abstract

Read the Article

PFO and Cryptogenic Stroke: New Clarity on Reducing Risk

After years of debate, results of three trials confirm the benefit of closing a patent foramen ovale (PFO) in selected stroke patients in order to prevent a recurrent stroke.  Learn the latest on PFO and stroke.

Read the Article

Management of Subclavian Vein Thrombosis With Mechanical Thrombectomy

Read a case description of a young athlete treated with mechanical thrombectomy and low-dose thrombolytics in a single session.

Read the Article

Why Build an Aortic Center?

Learn more about the goals, requirements and numerous benefits of developing an aortic center.

Read the Article

Indigo® Mechanical Thrombectomy System for Thromboembolic Disease

Hear experts within the endovascular community share their experiences with and perspectives on clot management protocols and the risks and benefits of the various available treatment options. Show/hide full abstract

Read the Article

A Complete Embolization System

As data on coil embolization become more robust, so must the tools and technology we use. Learn about new devices that are moving care forward.

Read the Article

Examining EVAR’s Role in Rupture Care

In recent years, our ability to treat abdominal aortic aneurysms using endovascular repair (EVAR) has improved. Learn more about the advancements clinicians have made in the field.

Read the Article

Video: TAVR vs Surgery: The Latest Research

Compared to traditional surgery, TAVR is emerging as a preferred therapy for intermediate-risk patients with severe aortic stenosis. Hear Dr. Hadley Wilson outline the latest studies.

Watch the Video

Transcatheter Aortic Valve Replacement (TAVR): Is It for Everyone?

Wondering if TAVR is a treatment option for your aortic stenosis patient? Learn more about who's eligible for TAVR therapy.

Read the Article

Inside Our Structural Heart Program

The physicians at Sanger Heart & Vascular Institute offer complete, advanced care for every structural and valve condition. From minimally invasive approaches to advanced catheter-based procedures like TAVR, explore our full range of heart valve disease care.

Download

Inside Our Advanced Heart Failure & Transplant Program

With top outcomes and the region's only heart transplant center, Sanger Heart & Vascular Institute's heart failure and transplant program is among the best in the nation. Learn more about our expert team and our specialized care.

Download

Inside Our Vascular Program

From prevention to diagnosis to treatment, Sanger Heart & Vascular Institute's vascular medicine physicians offer the full range of specialized care. Explore our breakthrough care for treating aortic aneurysms – and much more.

Download

Transforming Heart Failure into Heart Success: Innovation & Outcomes

Get a closer look at Sanger Heart & Vascular Institute's nation-leading heart transplant care and outcomes.

Download

At a Glance: Vascular Surgery & Medicine

See the outcomes and offerings of one of the region's highest-volume vascular centers.

Download

Inside our Advanced Heart Rhythm Program

With a dedicated Center for Atrial Fibrillation and one of the nation's largest device clinics, our Advanced Heart Rhythm Program treats a wide array of arrhhythmias with epxerience and expertise. Explore our specialized care.

Download

At a Glance: Advanced Heart Rhythm Program

Get a quick look at our progam's care, from our forward-thinking treatments to our exceptional outcomes.

Download

At a Glance: Center for Aortic Disease

From a first-in-the-world aortic aneurysm treatment to nation-leading aortic repair volumes, get a look at our leading care.

Download

At a Glance: Center for Advanced Heart Valve Therapies

With a leading role in clinical trials and hundreds of TAVR cases under our belt, we're national leaders in treating valve and structural heart disease. Learn more about our unmatched expertise and outcomes.

Download

RENEW Clinical Trial Eases Chest Pain

Learn more about the stem cell therapy study that's giving heart disease patients a better quality of life.

Download

A Dangerous Blood Clot Almost Took Her Life – Here’s How ‘Code PE’ Saved It

Go inside Code PE, the special protocol developed by our doctors and staff to handle critical cases of pulmonary embolism.

Download

Heart Pumps: They’ve Advanced More Than You Think

Think heart pumps like the LVAD are still stuck in the past, causing major interruptions to your patient's everyday life? Think again.

Read the Article

Cardiac Leads: When Should They Be Removed?

Patients are living longer with ICDs and pacemakers than ever before – which means their devices and leads are aging, too. Learn the most up-to-date indications for cardiac lead removal.

Read the Article

A New Treatment Option for Type B Aortic Dissection

Learn more about TEVAR (thoracic endovascular aortic repair), a minimally invasive alternative to open surgery.

Read the Article

New Advances in Mitral Valve Disease Treatment

We’ve seen a surge of innovation for less invasive mitral valve repair and replacement technology. But how do you know what’s right for your patient?

Read the Article

Atrial Fibrillation: Medical Therapy or Ablation?

Your Afib patient is on medical therapy, but you wonder: Is that really their best option? We’re giving you the top 6 answers you need to help you decide when ablation is best.

Read the Article

Advanced Heart Failure Care: When Should You Refer?

Patients treated by advanced heart failure programs have fewer complications, shorter hospital stays and better odds of a good outcome. But when is the right time to send your patients for specialized care?

Read the Article

Sanger Heart & Vascular Institute: An Inside Look at Outcomes and Innovation

For more than 50 years, Atrium Health's Sanger Heart & Vascular Institute has been committed to delivering world-class cardiovascular care and advancing new treatments. Today, that dedication has helped place us among the nation's best. Explore how our patient outcomes, innovative experts and breadth of specialties set us apart. Show/hide full abstract

Download

B. Hadley Wilson, MD, FACC, Elected Chair of ACC Board of Governors

B. Hadley Wilson, MD, FACC, has been elected chair of the American College of Cardiology Board of Governors and secretary of the Board of Trustees, the main governing body of the ACC, for 2017-2018. His term begins today as the ACC's 66th Annual Scientific Session comes to a close in Washington. Show/hide full abstract

Read the Article

Results of the Valiant Mona LSA early feasibility study for descending thoracic aneurysms.

Participating in the United States Food and Drug Administration's new Innovation Pathway, this first-in-human, early feasibility study evaluates early clinical experience of the Valiant Mona LSA Stent Graft System in patients with DTAs where the proximal landing zone necessitates LSA coverage. Show/hide full abstract

Read the Article

Considerations Beyond Anatomy to Best Manage Aortic Disease: The Benefits of EndoAnchors

Dr Arko discusses his approach to treating patients and how EndoAnchors fit into his treatment algorithm.

Read the Article

Building a Comprehensive Aortic Center

Building a comprehensive aortic center presents a unique set of challenges to the delivery of cardiovascular care. Improving that quality of care should be the main goal of any comprehensive aortic program. Developing your institution's capabilities and reach is possible with a commitment to more efficient processes, improved data tracking and measurement, and training more effective teams. Show/hide full abstract

Read the Article

Cardiologists Without Borders

Through the International Medical Outreach program, Sanger Heart & Vascular Institute is collaborating across borders to foster sustainable cardiovascular care and capabilities overseas.

Read the Article

Atrial Fibrillation: How Standardization and a Patient-Centered Approach Improve Outcomes

Learn about Atrium Health Sanger Heart & Vascular Institute’s Atrial Fibrillation Center of Excellence that’s decreasing hospital admission rates, length of stay and healthcare costs for this rapidly growing chronic disease.

Learn More 

Surgery Resources

World’s First Artificial Intelligence Tool for Predicting Hernia Surgery Outcomes

Hernia specialists at Atrium Health Carolinas Medical Center develop an easy-to-use preoperative tool that could prevent additional hernia surgeries or complications.

Discover how AI can improve hernia outcomes

How to Safely Restart Metabolic and Bariatric Surgery

We developed an innovative, tiered approach for prioritizing patients, and safely restarting metabolic and bariatric surgery, after the COVID-19 peak has passed.


Learn More

Making the Case for Virtual Post-Op Care

Learn about the first noninferiority randomized controlled study of virtual post-op care

Discover how virtual care could improve post-op compliance

Leading the Way in Advanced HPB Surgery

As leaders in the field and one of the most experienced HPB team in the nation, Atrium Health's HPB surgeons are nationally and internationally regarded for their advanced minimally invasive techniques and are often asked to teach surgeons and fellows from around the world. Show/hide full abstract

See what sets us apart

5 Ways We’re Elevating Care for Critically Ill and Injured Surgical Patients

We recently recruited one of the nation’s top experts in trauma, surgical critical care and emergency surgery, Addison May, MD, MBA, FACS, to lead our world-class acute care surgery team and help it raise the bar even higher. Show/hide full abstract

Check out how Dr. May is helping us move medicine forward

Innovative Ventral Hernia Repair: A Complex Case Study

Last year, a 49-year-old male had a motorcycle accident that left him in a controlled coma for 5.5 weeks with severe injuries and, eventually, a large ventral hernia and ileostomy.

See how we repair even the most complicated hernias

Building a World-Class Head and Neck Program

When Zvonimir Milas, MD, FACS, launched our head and neck cancer program in 2013, he expected its multidisciplinary approach to win attention from physicians and patients. But even Dr. Milas was surprised at how quickly the program became one of the region’s busiest.

Read the Article

Improving Outcomes Via Enhanced Recovery After Surgery (ERAS)

At Atrium Health, we’re at the forefront of using Enhanced Recovery After Surgery (ERAS) to improve surgical care and outcomes.

Read the Article

Extending the Shelf Life of Platelets

As a surgeon, Susan Evans, MD, has seen first-hand how donated platelets can stop bleeding and save patients’ lives after car accidents, gunshot wounds or other traumas. She also knows these platelets can be in scarce supply.

Read the Article

CMC's HPB Unit Earns a First in the U.S.

This summer, CMC's Hepato-Pancreato-Biliary Surgery Unit (HPB) was awarded a certificate for implementing an Enhanced Recovery after Surgery (ERAS) program, marking it the first and only U.S. center that has implemented specific guidelines that help patients recover quicker, receive more communications from their care team, and improve pain management, among other initiatives. Show/hide full abstract

Read the Article

New Option for Partial Knee Replacement Now Available

This September, we will be launching an advanced robotics-assisted technology used to perform partial knee arthroplasty. This is an excellent option, new to patients looking for less invasive partial knee replacement.

Read the Article

Department of Surgery Newsletter - Summer 2017

 

Download

The Orthopaedic Surgery Report

Our orthopaedic subspecialists and their support teams provide world-class care to our patients within one of the largest accountable healthcare systems in the country. Patient care volume was at an all-time high at Carolinas Medical Center, CMC-Mercy and across our integrated local and regional facilities, which comprise Atrium Health. Show/hide full abstract

Download

 
Close